Highlight
งานวิจัยประเมินศักยภาพ biofloc meal จากบ่อกุ้งเป็นวัตถุดิบทดแทน fishmeal และเพิ่มภูมิคุ้มกันและการรอดของกุ้งขาวแวนนาไมเมื่อให้ติดเชื้อ Vibrio harveyi พบว่าการแทน fishmeal ด้วย biofloc 25–75% เพิ่ม จำนวนเม็ดเลือดและการกินเชื้อ โดยสูตร 25% ให้อัตราการรอดสูงสุดใกล้เคียง β-glucan และลดความเสียหายของอวัยวะจากเชื้อ Vibrio harveyi
ที่มาและความสำคัญ
การเพาะเลี้ยงกุ้งขาวได้รับผลกระทบมากจากการติดเชื้อแบคทีเรีย Vibrio harveyi ทำให้เกิดการสูญเสียและลดผลผลิต ขณะเดียวกันอาหารกุ้งที่พึ่งพา fishmeal มีต้นทุนสูงและมีข้อจำกัดด้านความยั่งยืน จึงมีความจำเป็นต้องหาแหล่งโปรตีนทดแทนที่หากช่วยเสริมภูมิคุ้มกันด้วย จะมีประโยชน์ลดต้นทุน และเพิ่มปริมาณผลผลิตในอุตสาหกรรมการเพาะเลี้ยงกุ้ง งานวิจัยนี้จึงศึกษาการใช้ biofloc meal จากระบบบ่อกุ้งเป็นวัตถุดิบทดแทน fishmeal และประเมินศักยภาพในการเพิ่มภูมิคุ้มกันและเพิ่มการรอดของกุ้งเมื่อติดเชื้อ V. harveyi
Abstract
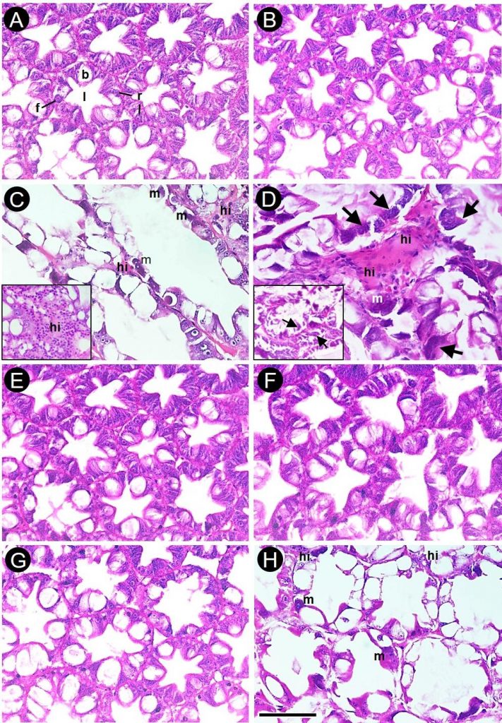
Vibrio harveyi (V. harveyi) is a major bacterial pathogen that significantly impacts shrimp cultivation. This study aimed to evaluate the potential of bioflocs, harvested from shrimp pond systems, as a fishmeal substitute to combat V. harveyi infection in shrimp Penaeus vannamei (P. vannamei). Shrimp were fed with 6 diet formulations: Four experimental diets in which fishmeal was replaced with biofloc meal at 25, 50, 75 and 100 % (designated B25, B50, B75, and B100, respectively), a fishmeal-based control diet without biofloc (B0), and a positive control diet supplemented with β-glucan (BG). Feeding trials were conducted for 30 days, followed by a challenge with V. harveyi. Growth performance, survival rates, total hemocyte count (THC), phagocytic activity, and histopathological changes were evaluated. The results demonstrated that all biofloc-fed groups had growth performance comparable to the B0 and BG groups. Shrimp fed with the B25, B50, and B75 diets exhibited significantly enhanced immune responses, with elevated THC and phagocytic activity. In the V. harveyi challenge, the B25 group showed the highest survival rate among biofloc diets, comparable to that of the BG group. Histological analysis revealed that B25 and B50 diets reduced hepatopancreatic and muscle damage associated with infection. In conclusion, this study provides evidence that substituting fishmeal with biofloc (25 – 50 %) effectively enhances immune function and confers protection against V. harveyi infection in P. vannamei, supporting its potential as a sustainable functional feed ingredient in shrimp aquaculture.
KEYWORDS: Biofloc technology, Penaeus vannamei, Vibrio harveyi, Shrimp feed, Immunostimulatory activity, Total hemocyte count, Phagocytic activity
Citation: Promthale, P., Withyachumnarnkul, B., Pudgerd, A., Chongsa, W., Pratoomthai, B., Gangnonngiw, W., Vanichviriyakit, R., & Wongprasert, K. (2025b). Biofloc Meal-based Diets Enhance Immunostimulatory Activity and Survival of Penaeus vannamei Against Vibrio harveyi. Trends in Sciences, 23(1), 10950.
DOI: https://doi.org/10.48048/tis.2026.10950
RELATED SDGs:
SDG Goal หลัก ที่เกี่ยวข้อง
14. Life below water

SDG Goal ที่เกี่ยวข้องอื่น ๆ
12. Responsible consumption production

ผู้ให้ข้อมูล: ศาสตราจารย์ ดร.กนกพรรณ วงศ์ประเสริฐ
ชื่ออาจารย์ที่ทำวิจัย: ศาสตราจารย์ ดร.กนกพรรณ วงศ์ประเสริฐ รองศาสตราจารย์ ดร.รพีพรรณ วานิชวิริยกิจ
แหล่งทุนวิจัย: Fundamental Fund
Credit ภาพ: ศาสตราจารย์ ดร.กนกพรรณ วงศ์ประเสริฐ
Webmaster: ว่าที่ ร.อ. นเรศ จันทรังสิกุล
Tags: Biofloc technology, Immunostimulatory activity, Penaeus vannamei, Phagocytic activity, Shrimp feed, Total hemocyte count, Vibrio harveyi


