Highlight
งานวิจัยนี้ถือเป็นการศึกษาแรกที่แสดงให้เห็นว่าสารเคมีที่เกี่ยวข้องกับการผสมพันธุ์ของเพศเมียสามารถควบคุมการแสดงออกและความอุดมสมบูรณ์ของนิวโรเปปไทด์ที่เกี่ยวข้องกับการรับกลิ่น ซึ่งให้ข้อมูลเชิงลึกที่มีคุณค่าสำหรับการจัดการการผสมพันธุ์ของกุ้งก้ามกรามในการผลิตเชิงพาณิชย์เพื่อการเพาะเลี้ยงสัตว์น้ำ



ที่มาและความสำคัญ
จากการศึกษาเบื้องต้นของเรา พบว่าสารดึงดูดหรืออาจเป็นฟีโรโมนที่หลั่งออกมาจากกุ้งก้ามกรามเพศเมียที่อยู่ในระยะลอกคราบและพร้อมผสมพันธุ์ (Macrobrachium rosenbergii) สามารถกระตุ้นการแสดงออกของฮอร์โมนอินซูลินคล้ายแอนโดรจีนิกจากต่อมสร้างฮอร์โมนเพศผู้ในระบบการเพาะเลี้ยงร่วมกันได้
สารดึงดูดนี้จะถูกรับรู้โดยตัวรับกลิ่นที่มีขนรับความรู้สึก (setae) ซึ่งอยู่บนหนวดคู่หน้าด้านข้างที่สั้น (short lateral antennules หรือ slAn) ของกุ้งก้ามกรามเพศผู้ สัญญาณประสาทที่เกิดขึ้นนี้จะถูกส่งต่อไปยังศูนย์กลางระบบประสาท (central nervous system หรือ CNS) โดยมี นิวโรเปปไทด์ อย่างน้อย 4 ชนิดเป็นสื่อกลาง ได้แก่ neuropeptide F (NPF), short NPF (sNPF), tachykinin (TK), และ allatostatin-A (ATS-A) ซึ่งพบการแสดงออกของยีนที่สร้างนิวโรเปปไทด์เหล่านี้ในการศึกษาปัจจุบัน เพื่อทำความเข้าใจถึงบทบาทหน้าที่ของนิวโรเปปไทด์ในกลุ่มนี้ การศึกษาลักษณะการแสดงออกของยีนที่สัมพันธ์กับรูปแบบการเลี้ยงที่กล่าวข้างต้น
Abstract
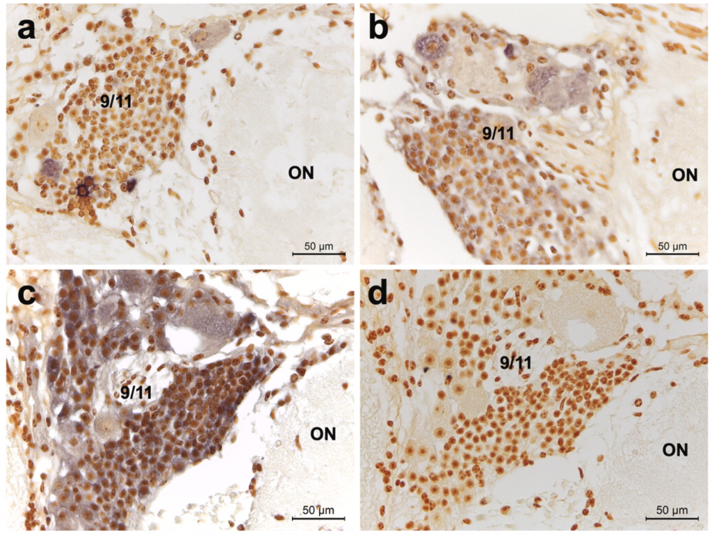
Our previous studies revealed a mating attractant or possibly a pheromone released from molting reproductive mature female prawns, Macrobrachium rosenbergii, stimulates the expression of insulin-like androgenic gland hormones in a co-culture system. The released attractant is perceived by olfactory receptors with setae located on the short lateral antennules (slAn), which connect to the olfactory neuropil in the central nervous system (CNS) of male prawns. This neural signaling propagating through the CNS is mediated by at least four neuropeptides, namely neuropeptide F (NPF), short NPF (sNPF), tachykinin (TK), and allatostatin-A (ATS-A) whose transcripts have been detected in the present study. These deduced sequences, along with their conserved domains, serve as signatures of the identified neuropeptides, which were then compared with those found in other crustaceans and insects, whose nucleotide sequences were obtained from the nucleotide database. RT-PCR identified the expressions of the transcripts encoding these neuropeptides in the CNS. In situ hybridization specifically localized these transcripts in olfactory-associated neurons of cluster 9/11 of the deutocerebrum. Quantitative real-time PCR was used to quantify the expressions of the transcripts in response to the female attractants under different co-culture conditions: males with molting females (G1), males with intermolt females (G2), and slAn ablated males with molting females (G3). The transcripts were significantly increased on days 4–8 in the brain (Br) of males in G1 but not in G2 and G3. This suggests that expressions of the transcripts encoding the neuropeptides are associated with the perception of female mating pheromones through the slAn. This study is the first to show that female mating chemicals regulate the expressions and abundance of the olfactory neuropeptides, thus providing valuable insights for manipulation of mating of this species in aquaculture production.
KEYWORDS: Molting pheromone, Neuropeptide, Nervous system, Short neuropeptide F, Tachykinin, Olfactory pathway
Citation: Kruangkum, T., Jaiboon, K., Vanichviriyakit, R., Sobhon, P., Chotwiwatthanakun, C. (2025). Upregulation of olfactory-related neuropeptide transcripts in male Macrobrachium rosenbergii in correlation to pheromone perception from molting females. Comp Biochem Physiol A Mol Integr Physiol. 302; 111812. https://doi.org/10.1016/j.cbpa.2025.111812
RELATED SDGs:
SDG Goal หลัก ที่เกี่ยวข้อง
14. LIFE BELOW WATER

SDG Goal ที่เกี่ยวข้องอื่น ๆ
4. QUALITY EDUCATION

ผู้ให้ข้อมูล: ผู้ช่วยศาสตราจารย์ ดร.ธนพงศ์ เครื่องคำ
ชื่ออาจารย์ที่ทำวิจัย: ผู้ช่วยศาสตราจารย์ ดร.ธนพงศ์ เครื่องคำ รองศาสตราจารย์ ดร.รพีพรรณ วานิชวิริยกิจ
แหล่งทุนวิจัย: The Office of the Permanent Secretary, Ministry of Higher Education, Science, Research, and Innovation (OPS MHESI), Thailand Science Research and Innovation (TSRI) (Grant No. RGNS 63–152)
ภาพถ่าย: ผู้ช่วยศาสตราจารย์ ดร.ธนพงศ์ เครื่องคำ
Webmaster: ว่าที่ ร.อ. นเรศ จันทรังสิกุล
Tags: Molting pheromone, Nervous system, Neuropeptide, Olfactory pathway, Short neuropeptide F, Tachykinin
